
Как выглядит сифилис на губах
Сифилис — это системное заболевание, вызываемое бледной трепонемой. Оно может поражать различные органы и системы, в том числе кожи и слизистые оболочки.
Поражение губ, находящихся на стыке слизистой полости рта и кожи лица, наблюдается достаточно часто, учитывая орогенитальные половые контакты.
Многие полагают, что признаки первичного сифилиса могут появляться только на наружных половых органах.
Действительно, это наиболее типичное место локализации инфекционных проявлений, но не единственное.

Следы жизнедеятельности бледной трепонемы в организме могут проявляться и на слизистой полости рта, в частности на губах.
Причины заболевания
Место проявления признаков первичного сифилиса зависит от того, где произошло внедрение бледной спирохеты в организм.
При традиционных сексуальных контактах язвы появляются на пенисе или малых половых губах, но это далеко не единственный вариант заражения.
Симптомы сифилиса на губе могут появиться у лиц, которые занимались оральным сексом с больным сифилисом.
Многие полагают, что при этом виде интимной близости невозможно заразиться, поэтому забывают о методах контрацепции.
Следует знать, что возбудитель способен внедряться в организм не только через половые органы, но и через слизистую ротовой полости и губы.
Кожа в этом месте тонкая и нежная, часто имеет невидимые глазу микроповреждения, через которые бледная спирохета моментально внедряется в организм.
Второй самый распространенный способ заражения — через предметы личной гигиены.
Если воспользоваться, например, зубной щеткой больного сифилисом, то можно заразиться этим опасным заболеванием.
Также риску подвержены медицинские работники, которые контактируют с больными сифилисом.
Если на губах или слизистой полости рта есть даже небольшие ранки, то заразиться бледной спирохетой можно даже при обычном поцелуе.

Сифилис очень коварный, поскольку им болеют даже те, кто не ведет беспорядочную половую жизнь.
Как правило, такие пациенты ничего не подозревают, поэтому заболевание у них диагностируется поздно.
Причиной сифилиса на губах может стать плохо обработанный медицинский инструментарий.
Характерные язвы на губах можно обнаружить после посещения стоматолога или терапевта, который осматривает горло.
Инфекцию могут занести через плохо продезинфицированный многоразовый шпатель.
Как проявляется сифилис на губах
В большинстве случаев заболевание диагностируется поздно, поскольку пациент даже не подозревает, насколько может быть опасна небольшая язвочка на губе.
К венерологу такие пациенты попадают далеко не сразу.
Медики других специальностей не имеют диагностической настороженности в отношении этой формы сифилиса.
Язвы на губах при сифилисе могут напоминать обычные трещины, стоматит, заеду, ссадину.
С такими заболеваниями сталкивался практически каждый.
Пациенты в течение длительного времени пытаются лечить данные проявления самостоятельно с помощью подручных средств.
Использование различных мазей не дает никакого эффекта, кожный дефект не только не заживает, а напротив — становится больше.
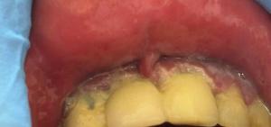
Первичный сифилис начинается с появления первичного сифилитического высыпания – твердого шанкра.
На губах, твердый шанкр может проявляться в различных формах:
Ключевые Характеристики Твердого Шанкра на Губах:
- Эрозивная форма: Наиболее частая форма. Представляет собой безболезненную, округлую эрозию. Края четкие, приподнятые. Дно эрозии покрыто серозным или кровянистым отделяемым. Размер эрозии варьирует от нескольких миллиметров до 1-2 сантиметров в диаметре. Цвет эрозии обычно бледно-красный.
- Язвенная форма: Встречается реже. Характеризуется более глубокой язвой, которая может иметь неровные, подрытые края. Болезненность может наблюдаться при данной форме.

- Глубокая язва: Крайне редкая форма, характеризующаяся глубоким дефектом ткани.
- Смешанная форма: Сочетание эрозии и язвы.
- Безболезненность: Основной отличительный признак твердого шанкра.
- Твердость высыпания: Характерной особенностью является уплотнение в поражения. Это связано с развитием воспаления тканей.
- Серозное отделяемое: Отделяемое скудное или прозрачное.
- Регионарный лимфаденит: Через 1-2 недели после появления шанкра развивается увеличение лимфоузлов. Поражаются подбородочные и подчелюстные лимфатические узлы.
Изменения могут располагаться как на внешней, так и на внутренней стороне губ, в уголках рта, по краю губ.
Появляются они обычно через 2-3 недели после контакта с больным.
В ряде случаев возможна манифестация сифилиса спустя несколько месяцев после заражения.
На начальной стадии на губе появляется пятно, в центре которого происходит распад тканей.
Со временем образуется язва с ровными краями и гладким дном.
Она увеличивается и может достигать 2 см в диаметре.
Характерным признаком, указывающим на сифилис, является увеличение подчелюстных лимфоузлов.
Многие заболевшие не замечают этот симптом или списывают его на обычную простуду.
Через несколько месяцев возбудитель сифилиса проявляет себя и в других местах.
На различных участках тела появляется сыпь, язвы, общее самочувствие больного ухудшается, может повышаться температура.
Вторичный сифилис развивается через 6-12 недель после заражения и характеризуется распространением инфекции по всему организму. Поражения на губах во вторичном периоде:
- Шиловидные папулы: Мелкие, плоские, розовато-красные или буроватые папулы, которые могут сливаться, образуя бляшки.

- Шиловидные эрозии: Эрозии, возникающие на вершине папул. Могут иметь сероватый налет.
- Шиловидные язвы: Более глубокие поражения, чем эрозии.
- Сифилитическая лейкоплакия: Образование белых бляшек на слизистой оболочке губ.
Пациенты с вышеперечисленными жалобами часто обращаются к терапевту и лечатся от ангины или стоматита, но состояние ухудшается, а болезнь не отступает.
При малейшем подозрении на сифилис необходимо проведение дифференциальной диагностики.
Даже скрининговый метод — реакция Вассермана, может помочь установить правильный диагноз.
Лабораторные методы диагностики при сифилисе:
- Микроскопия прямого исследования: Обнаружение Treponema pallidum в отделяемом или соскобе с первичного с поверхности шанкра с помощью темнопольной микроскопии.
- Серологические методы:
- Неспецифические (кардиолипиновые) тесты: RPR (Rapid Plasma Reagin) и VDRL (Veneral Disease Research Laboratory) – скрининговые тесты, которые могут давать ложноположительные результаты.
- Специфические (трепонемные) тесты: FTA-ABS (Fluorescent Treponemal Antibody Absorption) и TPHA (Treponema pallidum Hemagglutination Assay) – более специфичные тесты, имеющие большую диагностическую значимость.
- Молекулярно-биологические методы (ПЦР): Полимеразная цепная реакция может быть использована для обнаружения ДНК Treponema pallidum.

- Биопсия: В сомнительных случаях может быть проведено гистологическое исследование пораженного участка.
Если вовремя не начать лечение, то возникают такие осложнения, как разрушение носоглотки, нейросифилис.
Если лечение начато при первичных проявлениях сифилиса на губах, то в большинстве случаев терапия оказывается эффективной.
Если инфекция запущена, то процесс борьбы с бледной спирохетой будет длительным и не всегда заканчивается полным излечением.
Основа лечения — этиотропная терапия.
Лечение сифилиса на губах, как и любого другого проявления сифилиса, должно проводиться под наблюдением врача-венеролога. Основным препаратом для лечения сифилиса является пенициллин.
- Препараты пенициллина:
- Бензилпенициллин (экстенциллин, новокаиновая соль): Является препаратом выбора для лечения всех стадий сифилиса.
- Дозировка и продолжительность лечения: Зависят от стадии заболевания, наличия осложнений и индивидуальных особенностей пациента.
- Альтернативные схемы лечения:
- При аллергии на пенициллин могут быть назначены макролиды (азитромицин) или тетрациклины (доксициклин). Однако, следует учитывать, что чувствительность Treponema pallidum к этим антибиотикам может быть более низкой.

Если установлено, что причиной язвы на губе является сифилис, назначаются антибиотики группы пенициллинов.
Они губительно воздействуют на бледную трепонему.
Если лечение начато в поздней стадии, то назначаются препараты висмута.
В качестве дополнительных методов лечения используются иммуномодулирующие препараты и поливитамины.
Также применяют местное лечение антисептическими растворами для облегчения состояния больного.
Если вы заметили у себя признаки сифилиса, пройдите обследование в нашей клинике.
Содержание данной статьи проверено и подтверждено на соответствие медицинским
стандартам врачем дерматовенерологом, урологом, к.м.н.
Ленкиным Сергеем Геннадьевичем
| Наименование | Срок | Цена |
|---|---|---|
| Прием венеролога | 900.00 руб. | |
| Микрореакция на сифилис качественно (RPR) | 1 д. | 500.00 руб. |
| Сифилис РПГА-тест кач. | 1 д. | 500.00 руб. |
Провести диагностику и лечение ВЫ можете в нашей клинике, где есть все необходимое оборудование, а прием ведет опытный гинеколог, врач высшей категории
8 (495) 916-13-86
с 9:00 до 21:00
Провести диагностику и лечение ВЫ можете в нашей клинике, где есть все необходимое оборудование, а прием ведет опытный врач венеролог, уролог, врач высшей категории, кандидат медицинских наук
8 (495) 916-13-86
с 9:00 до 21:00
Провести диагностику и лечение ВЫ можете в нашей клинике, где есть все необходимое оборудование, а прием ведет опытный врач венеролог, уролог, врач высшей категории, кандидат медицинских наук
8 (495) 916-13-86
с 9:00 до 21:00















